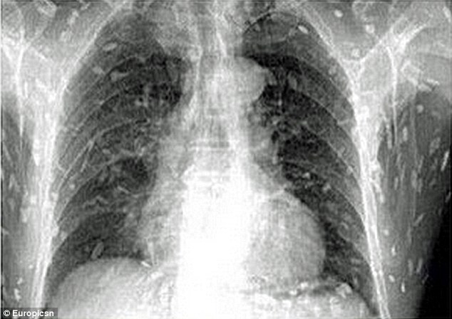
Η αγάπη ενός κινέζου – και όχι γιαπωνέζου – για το sashimi παραλίγο να του κοστίσει την ζωή. Το σώμα του γέμισε παράσιτα και αυτό απεικονίστηκε με σοκαριστικό τρόπο στις ακτινογραφίες που έβγαλε.
Ο κινέζος πήγε στον γιατρό του παραπονούμενος για πόνο στο στομάχι και φαγούρα. Ο γιατρός αποφάσισε να του βγάλει ακτινογραφίες και τότε και οι δυο έμειναν με το στόμα ανοικτό.
Όλο του το σώμα εσωτερικά ήταν γεμάτο παράσιτα. Και αυτό γιατί έτρωγε ακατάπαυστα sashimi! Οι γιατροί πιστεύουν ότι το ωμό ψάρι που έφαγε πρέπει να ήταν μολυσμένο.
Η εισαγωγή του στο νοσοκομείο ήταν άμεση. Η μόλυνση ήταν μεγάλη και μάλλον προήλθε από ωμό σολωμό.
Αυτού του είδους οι μολύνσεις είχαν παρατηρηθεί κυρίως σε φτωχές περιοχές όπου οι άνθρωποι δεν έτρωγαν σωστά και το φαγητό δεν είναι καλής ποιότητας. Τώρα, τα παράσιτα αυτά έκαναν την εμφάνισή τους και σε ανεπτυγμένες χώρες και σε περιοχές που το βιοτικό επίπεδο είναι υψηλό. Και υπεύθυνο γι’ αυτό είναι το σουσι!
Για να μην στήνουμε όμως στον τοίχο μόνο την γιαπωνέζικη κουζίνα, πρόβλημα εντοπίζεται και σε άλλες χώρες που το ψάρι είναι από τα βασικά συστατικά της κουζίνας. Παστά ή μαριναρισμένα ψάρια στις χώρες της Βαλτικής, καρπάτσιο στην Ιταλία.
Αν δεν προλάβει κάποιος την μόλυνση τότε το παράσιτο μολύνει και το αίμα αλλά και το εγκέφαλο με ανεπιθύμητες συνέπειες ακόμα και τον θάνατο.
ΠΗΓΗ: DAILYMAIL
ΔΙΑΒΑΣΤΕ ΕΠΙΣΗΣ:
Είναι αυτή η πιο “καυτή” εγκληματίας του κόσμου; (φωτογραφίες)
Ανατριχιαστικό: Η φιγούρα που τρομάζει όλο το διαδίκτυο! (φωτό)
Λασίθι: Η θάλασσα ξέβρασε… ταύρο! ΦΩΤΟ
Ρέθυμνο: Είχαν κροκόδειλο, τώρα έχουν και πύθωνα! (ΒΙΝΤΕΟ)


