Αφαίρεσαν έτσι το μωράκι της από τη μήτρα για 20 λεπτά και το έβαλαν ξανά πίσω για να γεννηθεί τελικά υγιέστατο 12 εβδομάδες αργότερα. Σίγουρα η μικρούλα Lynlee Boemer έχει έναν πολύ καλό λόγο να γιορτάζει δύο φορές τα γενάθλιά της κάθε χρόνο.
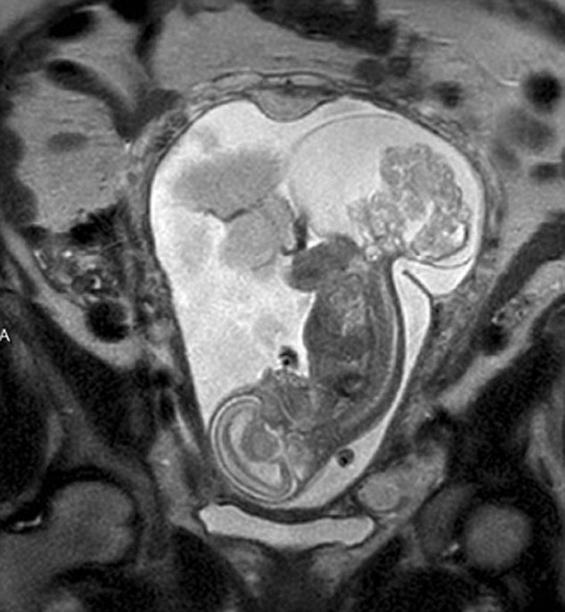
Οι γιατροί ανακάλυψαν ότι το αγέννητο μωράκι της Margaret Boemer είχε όγκο στον υπέροχο των 16 εβδομάδων. Έπρεπε να υποβληθεί σε επέμβαση για να καταφέρει να ζήσει. Άνοιξαν τη μήτρα και αφαίρεσαν το κοριτσάκι για 20 λεπτά για μια εγχείρηση ζωής ή θανάτου και μετά το έβαλαν ξανά στη μήτρα της Margaret.
ΔΙΑΦΗΜΙΣΗ
H Margaret από το Plano, στο Τέξας, φοβόταν το χειρότερο μετά τα σοκαριστικά αποτελέσματα του υπέρηχου. “Είδαν κάτι στον υπέροχο και ο γιατρός μας είπε ότι υπήρχε σοβαρό πρόβλημα με το μωράκι μας και πως είχε αναπτύξει sacrococcygeal τεράτωμα. Ήταν πολύ σοκαριστικό και τρομακτικό γιατί δεν ξέραμε τι σήμαινε αυτό πρακτικά”.
“Το τεράτωμα είναι η πιο κοινή μορφή όγκου που βλέπουμε σε ένα νεογέννητο”, δήλωσε ο Dr. Darrell Cass. “Ενώ είναι η πιο κοινή μορφή που βλέπουμε, και πάλι είναι αρκετά σπάνιο”. Η αιτία είναι άγνωστη, με τον συγκεκριμένο όγκο να εμφανίζεται 4 φορές περισσότερο συχνά στα κορίτσια από ό,τι σε αγόρια. Μερικές φορές οι γιατροί μπορεί να επιλέξουν να καθυστερήσουν την επέμβαση μετά τη γέννηση, αλλά στην περίπτωση της LynLee ο όγκος ήταν πολύ μεγάλος. “Σε ορισμένες περιπτώσεις ο όγκος κερδίζει και η καρδιά απλά δεν μπορεί να συμβαδίσει με αποτέλεσμα να παθαίνει”, τόνισε ο Dr. Darrell Cass.
Όσο μεγάλωνε ο όγκος, η υγεία του μωρού επιδεινονόταν έως ότου οι γιατροί δεν είχαν άλλη επιλογή από το να δράσουν. Μια επιλογή θα ήταν η Margaret να τερματίσει την εγκυμοσύνη της. Απόφαση πολύ δύσκολη για τη νεαρή γυναίκα που αρχικά περίμενε δίδυμα αλλά έχασε το ένα μωράκι πριν από το δεύτερο τρίμηνο της εγκυμοσύνης της. “Η LynLee δεν είχε πολλές ελπίδες. Στις 23 εβδομάδες ο όγκος εμπόδιζε την καρδιά της και θα προκαλούσε καρδιακή ανεπάρκεια. Δεν υπήρχε άλλη επιλογή. Ήταν εύκολη απόφαση για εμάς. Θέλαμε να της δώσουμε ζωή”, τόνισε η Margaret.
ΔΙΑΦΗΜΙΣΗ
Όταν δόθηκε το πράσινο φως στους χειρουργούς, η LynLee ήταν σχεδόν 24ων εβδομάδων και ο όγκος είχε το ίδιο μέγεθος με το κοριτσάκι. Η επέμβαση διήρκησε 5 ώρες, με τον Dr Cass να τονίζει πως είναι ένα είδος θαύματος να ανοίγεις τη μήτρα, να την κλείνεις και όλο αυτό να λειτουργεί. Οκτώ μέρες μετά τη γέννησή της η μικρούλα LynLee βρέθηκε ξανά στο χειρουργείο προκειμένου οι γιατροί να αφαιρέσουν μικρά τμήματα του όγκου που δεν μπόρεσαν να αφαιρέσουν την πρώτη φορά και είχαν αρχίσει πάλι να αυξάνονται.
Αρκετές εβδομάδες αργότερα και αφού η LynLee είχε αναρρώσει πλήρως, η Margaret πήρε το κοριτσάκι της σπίτι. “Ήταν η δεύτερη γέννησή της βασικά. Ήμουν πρόθυμη να υπομείνω όλους τους κινδύνους προκειμένου να της δώσω μια ευκαιρία στη ζωή”.
Πηγή: Dailymail





